
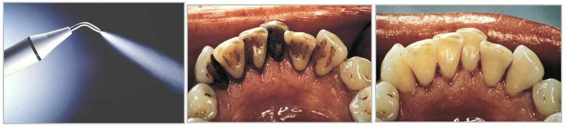
Air polishing treatment gives a deep, powerful clean beyond which can be achieved with a scale and polish. It is designed to effectively remove plaque build up and stains from teeth to create a polished smile. In some cases, it can be used in place of whitening treatment to brighten heavily stained teeth.

The treatment uses a high powered spray to project water, bicarbonate and compressed air onto the teeth and clean away areas of plaque and gently remove yellow, brown or grey stains. The spray technology ensures hard to reach areas can be accessed and treated effectively in a fast and non-invasive way.
The procedure is completely pain-free and much gentler than a traditional scale, which can cause sensitivity in some patients. It is quick and straightforward and leaves you with brilliantly brighter and healthy looking teeth in just one visit to the practice.
![]()
What are the benefits of air polishing?
To find out more ask our team at your next visit.


Don't miss out on our latest monthly promotions and exclusive special offers
To get in touch, please use the form below or give us a call on 01458 442 036.
Address:
Jenkins Dental Practice
130 High Street, Street, Somerset, BA16 0ER
Call Us On:
01458 442 036