
![]()
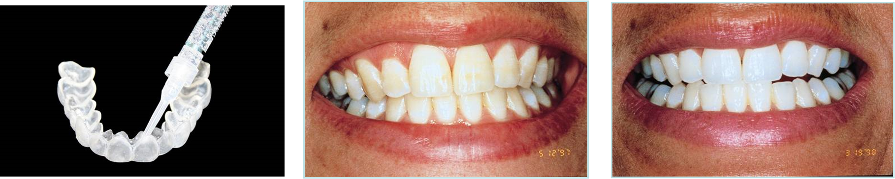
Tooth discolouration is often associated to ageing, and for some people a slight yellow colouration to their teeth is natural. But there’s no need to feel embarrassed or worried about whitening your teeth.
A common misconception is that any increased sensitivity experienced whilst using tooth whiting is due to harm caused by the treatment. This is simply not true.
Here at Jenkins Dental we use White Dental Beauty. This tooth whitening treatment is one of the only gels backed by NOVON technology, improving whitening results and reducing sensitivity with its unique active sensitivity management technology.

White Dental Beauty is a globally recognised brand providing innovative, high quality, clinically reinforced dental products for the best whitening results.
It’s never been a better time to whiten your teeth. If you’re interested in improving your smile and boost your confidence, we would love to talk to you.
If you want to learn more about this treatment why not talk to Madeline at your next hygiene appointment.
Don't miss out on our latest monthly promotions and exclusive special offers
To get in touch, please use the form below or give us a call on 01458 442 036.
Address:
Jenkins Dental Practice
130 High Street, Street, Somerset, BA16 0ER
Call Us On:
01458 442 036